Systematics
渦鞭毛虫門 Dinozoa
(真核帝国 - 原生動物界 - コルティカータ亜界 - アルベオラータ下界 - 渦鞭毛虫門)

特 徴
分類の現状
トピックス
系統関係
特徴

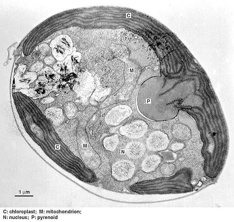
基本的には横鞭毛と縦鞭毛の2鞭毛性。いわゆる渦鞭毛藻核をもつ。


渦鞭毛藻核
拡大画像



サンゴやシャコガイと共生する褐虫藻として知られるものもいる。
拡大画像